
在CT检查候诊区
很多患者会疑惑
为啥临床医生嘱我检查前不要喝水和吃饭
这时放射科医生又让我喝水

到底听谁的?
不同的检查类型和成像原理
对饮水的要求也不尽相同
下面,我们就来详细了解一下
其实临床医生和放射科医生都没有说错,食物残渣会对胃壁的结构进行覆盖,胆囊会收缩,不利于病变的显示。
那检查前放射科医生又要求喝水,是为了什么呢?水作为一种阴性对比剂,大量喝水(口服1000mL左右水,大约2瓶矿泉水)。

喝足量的水,可以让胃肠道充分充盈,增加胃肠壁和腹部实质脏器的对比,有利于胃壁增厚的观察及分清胃与周围组织的边界,这样可以得到更清晰的胃肠道图像,提高病变检出率及诊断准确率,所以当放射科医生要求患者喝水的时候,它可是决定检査成功与否及图像质量高低的关键。

一、非空腔部位常规检查
像头部、胸部、四肢等非空腔部位的CT和MRI检查,这些检查主要依赖组织固有的密度(CT)或氢质子分布(MRI)来形成自然对比度。对于这些检查,一般没有特别的饮水限制,您可以正常饮食和饮水。
九江学院附属医院放射科温馨提醒:
· 如果检查时间较长(超过30分钟),建议您在检查前排空膀胱,以免中途需要上厕所而影响检查进程。
· 对于婴幼儿或前列腺患者,可以准备纸尿裤,以备不时之需。
· 如果您有幽闭恐惧症,建议提前1小时限制饮水,以减少检查中断的风险。

二、空腔脏器检查
空腔脏器检查,如肝胆胰脾、胃肠、泌尿系统等,对饮水的要求就比较严格了。

人体空腔脏器
1. CT检查的主动充盈策略
科学依据:
利用水的均匀密度(1.0 HU)作为天然对比剂,帮助更好地显示病变。《放射科检查前准备规范》(2023版)指出:合理的饮水管理可使腹部CT诊断准确率提升27%。
患者不喝水或少喝水,没有充盈的胃肠道管壁很厚,容易遗漏胃肠道本身的器质性病变。

没有充盈的胃肠道显示的软组织密度和真正可能存在的软组织密度的病灶难以鉴别。

为充分饮水后已经做好准备的胃,里面装的都是水,胃壁被填充,成薄薄的一层,胃壁及胃壁外有异常病变,扫描图像可清楚显示。

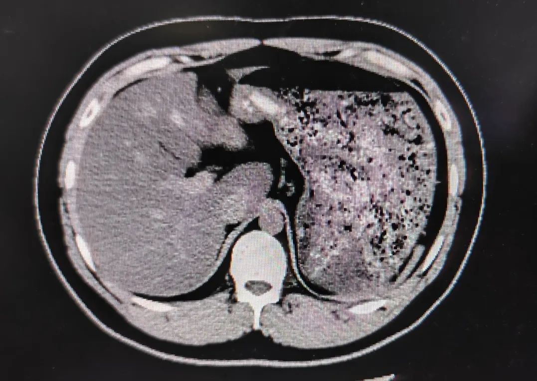
再来看一张没有禁食的,各类食物与水相比密度不均,容易与病变混淆。建议4小时以上空腹且多喝水。

患者该如何正确操作:
· 检查前1小时饮用800-1000ml温水,这样可以使胃肠道适度充盈,便于观察。

· 检查时保持膀胱适度充盈,即有尿意但可以忍耐的状态。
· 对于胃肠检查,还需要配合发泡剂或阴性对比剂,以进一步提高检查效果。

2. MRI检查的排空要求
多中心研究显示:规范的MRI肠道准备使胰腺病变检出率从68%提升至89%。

物理原理:
胃肠液体中的游离氢质子会产生运动伪影,影响图像质量。

操作规范:
检查前4小时禁食,以减少胃肠道内液体的干扰。
提前1天进行低渣饮食,减少肠道内容物,避免影响检查结果。
对于急诊患者,可能需要进行胃肠减压处理,以确保检查的安全性和准确性。

三、增强扫描时怎么做?
Health Science Popularization
增强扫描是指需要注射对比剂的检查,包括CT增强和MRI增强。这种检查可以使组织显影更清晰,但对饮水的管理也有特殊要求:

点击放大
特殊情形处理原则

在一些特殊情况下,饮水管理也需要特别注意:
急诊创伤:
遵循“损伤控制”原则,无需严格禁食,以确保患者的生命安全为首要任务。
代谢性疾病:
如糖尿病患者,需要调整胰岛素注射时段,避免低血糖等并发症。
老年患者:
70岁以上的患者,适当缩短禁水时间(≤3小时),以减少脱水的风险。
儿科检查:
采用阶梯式饮水法,检查前1小时每15分钟饮用50ml水,以适应儿童的生理特点。

(来源:九江学院附属医院 刘彦江)
编辑:梅 正
责编:刘新乐
审核:熊焕唐

请输入验证码